Meet
Dr. PRASHANTHY.R.BDS, MDS, FICOI,DICOIPeriodontist / Implantologist-Board certified Diplomate (ICOI )Healthy Gums and Teeth for a Beautiful Smile
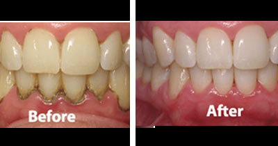
Treatment
Specialist inPeriodontist
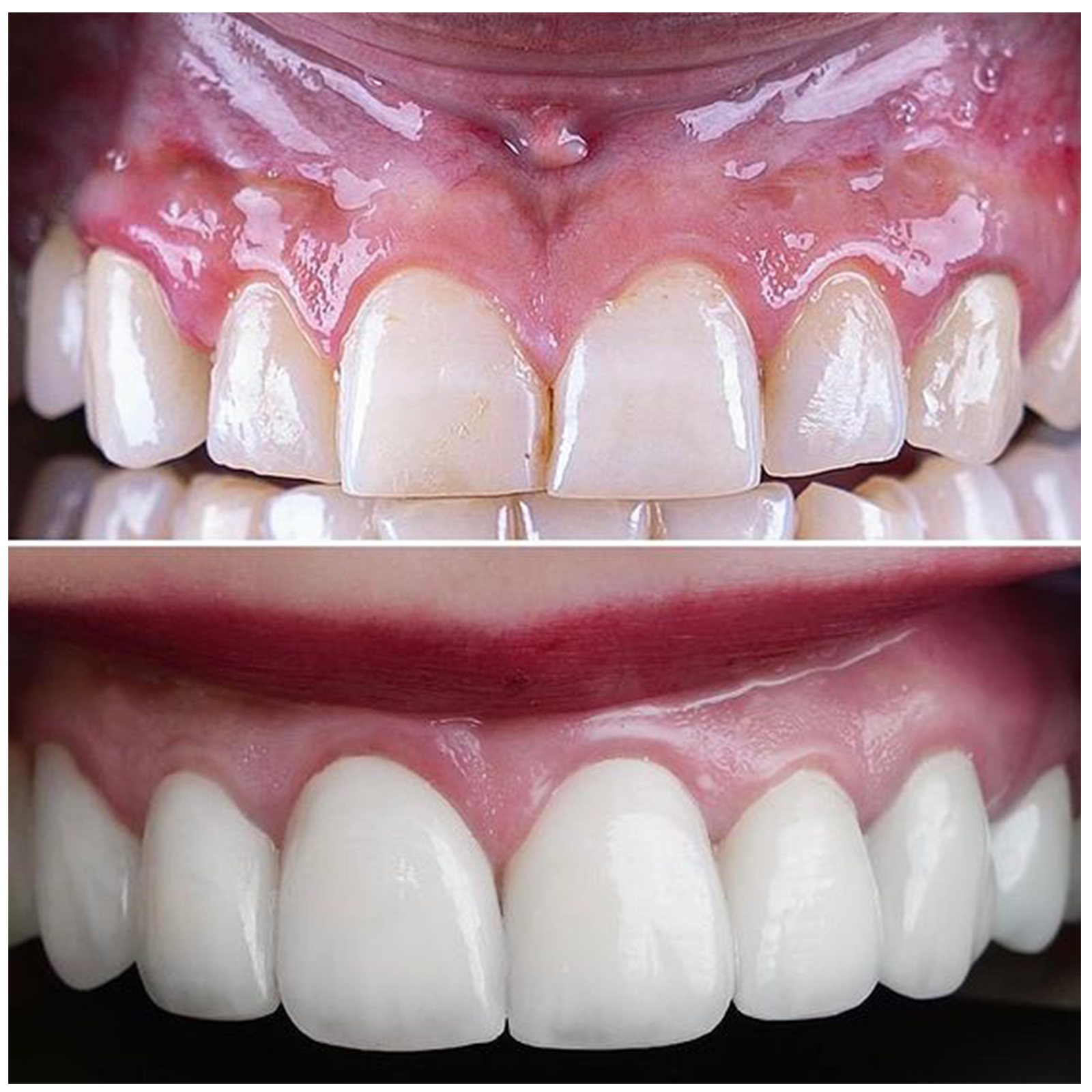
Treatment
Specialist inImplantology















